近日,我院骨科贾健主任团队率先在全市成功开展智能机器人辅助全膝关节置换术,随后顺利完成全市首例智能机器人辅助全髋关节置换术。两项新技术接连成功实施,标志着我院关节外科诊疗水平正式迈入精准化、智能化、微创化新时代,区域骨科技术能力实现跨越式提升。
作为学科带头人,贾健主任深耕关节外科多年,始终坚持以患者为中心,积极引进、消化、应用前沿医疗技术。在他的带领下,团队攻坚克难,率先将智能骨科机器人系统应用于临床,实现了从传统经验手术向精准量化手术的重大跨越。
技术引领,精准至上
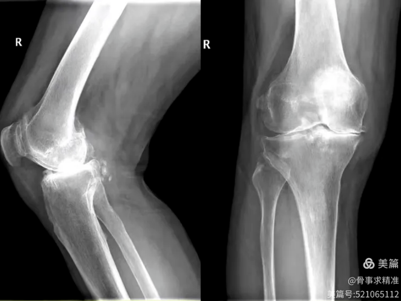
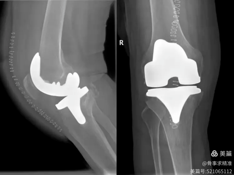
机器人系统在辅助全膝关节置换中,通过术前三维重建与个体化规划,实现不开髓、数据化精准截骨,最大限度保留骨量,创伤更小、出血更少、疼痛更轻、恢复更快。术中假体位置、角度、旋转对位全程精准控制,大幅度降低人为误差,提升手术安全性。
膝关节术前片
膝关节术后片
在全髋关节置换中,机器人实现髋臼磨挫深度、角度、臼杯前倾角、外展角完全量化,置钉方向与深度实时可视监测。尤其在DDH发育不良、髋关节翻修等解剖变异复杂病例中,精准导航能够降低手术风险,提高假体稳定性与长期生存率。



髋关节术后片
髋关节术后片
目前,我院已建立术前精准评估—术中智能操作—术后效果评价的完整技术闭环,术前、术中、术后影像资料齐全,流程规范、疗效明确、技术成熟。未来,我院骨科将持续推进智能骨科技术创新与普及,以更高标准、更高质量、更高安全的医疗服务,守护临汾及周边地区百姓骨骼健康!