一束可以“看见”希望的光
“医生,我还年轻,我不想切子宫吗?我还想要生育......”这种问题在寻常门诊中并不少见,作为医院妇科医师每天都会遇到在传统手术与新兴无创技术之间犹豫不决的患者。每一个问号背后,都是一位女性的挣扎、恐惧与未竟的期待。36岁的闫某就是其中一位,患者长期痛经伴有月经量多,曾口服药物等对症治疗,效果非常有限,曾于2025年9月就诊于外地医院,了解到高强度聚焦超声治疗。对于传统手术可能留下的疤痕、未来的生育问题以及对子宫完整性的担忧,像三座大山压在她心头许久。经过反复思量,患者于2025年9月来到我院妇科住院治疗。
术前核磁影像
术后核磁影像显示消融范围
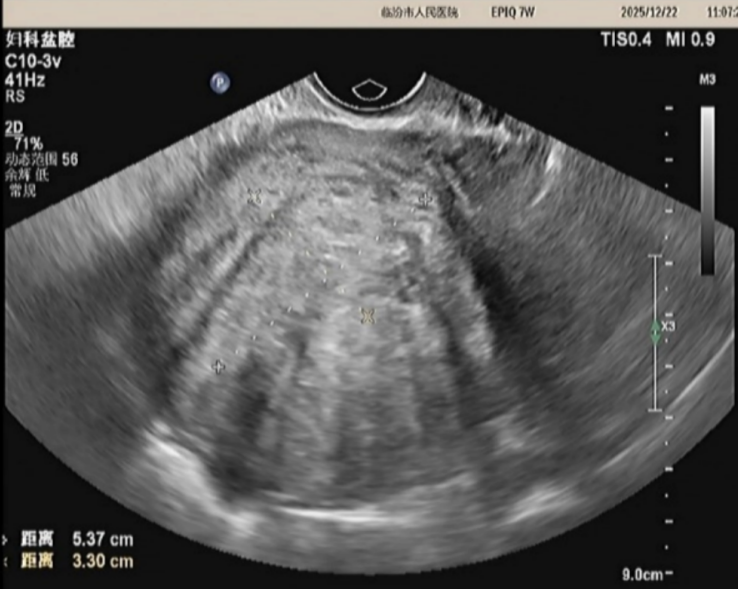
经过术前评估,完善相关检查后,患者于2025年9月25日接受高强度聚焦超声(HIFU)治疗,手术过程顺利,术后无不适,第二天出院。目前术后3个月,正常行经2次,痛经症状明显好转,经量减少,通过术前术后的超声影像学的对比,患者子宫腺肌瘤瘤体的大小及子宫的大小较前明显缩小,瘤体的大小由术前的6.6*6.6cm缩小为5.3*3.3cm,子宫的大小由术前的10*9cm缩小为8*7cm。预计随着时间的时间的推移,治疗效果将更加明显。
治疗前
治疗三个月后
技术之光成为精准的“雕刻师”
高强度聚焦超声(HIFU)是一种非侵入性治疗技术。其如同放大镜原理一样,是将体外低能量超声波聚焦于体内靶组织,在焦点处产生65-100℃高温,使肌瘤组织发生凝固性坏死,随后被机体逐渐吸收。整个过程,皮肤、腹腔、正常的子宫肌层,都像光线穿过玻璃一样,不受损伤。
治疗过程在患者清醒状态下进行,患者仰卧于治疗床,腹部上方是水囊,通过调节水温和水流,保持皮肤与治疗头的良好接触。操作台上,多个屏幕实时显示靶区温度、治疗范围及患者生命体征。术前通过严谨的MRI等影像学评估,严格把控其适应症,充分沟通,用最通俗的语言解释说明达到知情同意,术中实时超声监控,确保消融范围精确控制在肌瘤组织内,术中每一个治疗点的移动,需要在‘彻底消融’与‘保护内膜及浆膜’之间找到完美平衡点,这需要大量的经验积累。术后长期随访管理,建立完善的随访体系,定期追踪肌瘤吸收情况,并提供生活方式、营养及心理状态的综合指导。
一束光可以照亮更多路
子宫肌瘤、子宫腺肌瘤、瘢痕妊娠等良性疾病的治疗,从来不是一道简单的数学题。这关联着女性的自我认知、生育意愿、甚至亲密关系。HIFU提供的“无创”选择,在医学价值之外,更是一种人文关怀的具象化,最大限度地减少了对患者身体完整性和心理状态的侵扰。
HIFU技术的价值在于为子宫肌瘤治疗提供了新的选择,但也有局限性,与传统手术相比,HIFU的优势在于无创(不开刀,不流血,无治疗中失血);无需麻醉、可重复治疗;无疤痕,保持皮肤的完好性;保留子宫,定位准确,更多的保留子宫正常组织,保留生育功能;安全、有效,很少并发症,身体恢复较快,治疗当天即可出院;术后3-6个月即可备孕。但劣势在于无法获得病理标本,消融率存在明显的个体差异。需根据患者年龄、症状、肌瘤特征及生育需求,做出适合的选择。
科普小窗口
HIFU适应症包括:
· 育龄期、围绝经期女性
· 诊断明确的子宫肌瘤(直径通常3-10cm)
· 有明显症状(月经过多、压迫症状等)
· 有保留子宫需求
HIFU禁忌症包括:
· 可疑恶性病变
· 带蒂的浆膜下肌瘤
· 肌瘤过大或过多(需个体化评估)
专家简介

梁振,副主任医师, 妇科肿瘤学硕士学位,2010年毕业于山西医科大学妇科肿瘤学专业,2012年就职临汾市人民医院妇产科工作至今,于2021年于北京大学第三医院妇科进修。2022年4月选派成为第22批援喀麦隆医疗队队员,开展为期一年余的妇产科援外工作,并获得受援国家卫生部荣誉证书。
临床中,对妇产科各种常见病、多发病的诊断与治疗有丰富经验,尤其擅长宫颈疾病的诊疗;海扶(HIFU)对子宫肌瘤、子宫腺肌瘤等良性疾病的治疗;妇科内分泌疾病的治疗。
兼任山西省基层卫生协会宫颈癌防治专业委员会常务委员;山西省优生科学协会妇科盆底专业委员会常务委员;山西省预防医学会女性健康促进专业委员会常务委员;山西省专家学者协会妇产科产学研专业委员会常务委员;山西省基层卫生协会妇科专业委员会委员;山西省优生科学协会妇科盆底专业委员会委员;山西省临汾市生殖医学专业委员会委员;山西医科大学汾阳学院兼职副教授。