欢迎来到临汾市人民医院官方网站

新闻动态

ICG荧光腹腔镜,为“镜面人”患者保驾护航——我院肝胆胰外科成功实施“全内脏反位胆囊结石伴胆囊炎”手术

发布时间:2025-12-16      作者: 临汾市人民医院

近日,我院肝胆胰外科董晓勇主任医师接诊了一位69岁的“镜面人”患者。该患者于2个月前因“左上腹疼痛不适3天”就诊于当地医院,行腹部B超发现患者是“镜面人”,考虑胆囊结石伴急性胆囊炎,普外科医生考虑患者特殊,且没有此类患者手术经验,遂在彩超引导下行经皮经肝胆囊穿刺引流术(PTGD术),帮老人暂时渡过了这一难关。现患者想做手术,遂到我院门诊就诊。

“镜面人”,在医学精准定义里称为“完全性内脏反位”,是一种罕见的先天性生理变异,其发生率低至百万分之一,堪称医学界“大熊猫”。这类患者的内脏器官,包括心脏、肝脏、胃、胆囊、胆管等,如同被一双无形大手完全翻转,与正常人的位置截然相反,仿佛置身于一个镜像交错的神秘世界。这种独特的解剖结构,不仅在日常生活中给患者带来诸多不便,更在疾病治疗,尤其是手术治疗时,为医生布下“迷局”。

因患者既往有“冠心病”病史,行PIC治疗,且2年前因“阵发性室上性心动过速”行射频消融术,目前口服阿司匹林进行抗凝治疗,此类患者常规停药1周,这样可保证手术安全,防止出现出血并发症。肝胆胰外科主任许其威了解患者情况后高度重视,他嘱咐,面对“镜面人”,常规的手术路径、器械操作的角度和方向都需要在脑海中完成“镜像翻转”,这无疑是一场思维的极限挑战,要多看相关报道文献,学习手术经验,做好充分准备,运用新开展的腹腔镜荧光导航,可精准辨别胆囊颈管与胆总管,高效且安全的完成手术。

患者完善相关检查后,董晓勇组织了影像科、心内科、麻醉科、医务科相关科室开展MDT讨论,详细分析患者病情,精准标注胆囊位置、大小、病变范围及周围血管、胆管走向,对反位脏器进行精准解读,提出专业性的意见,保障手术顺利完成。在李海锋主治医师与患者及家属进行充分沟通后,决定实施“全内脏反位胆囊结石伴胆囊炎”手术。

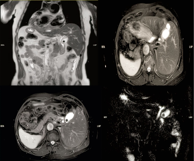
上腹部核磁+MRCP影像 (左侧胆囊)

这不仅是一场技术与经验的激烈较量,更是一场对医者勇气、智慧和担当的全方位、立体式考验。常规腹腔镜胆囊切除术,医生的站位、器械布局、操作习惯均基于正常脏器位置形成“肌肉记忆”,而面对“镜像”结构,相当于让习惯用右手写字的人突然改用左手完成精细作业,每一个动作都要打破常规思维,重新建立空间认知。胆囊所在的左上腹区域,血管和胆管走向与正常位置完全相反,且周围有胃、脾脏等重要器官,稍有不慎就可能造成血管损伤大出血,或胆管损伤导致胆漏等严重并发症。

手术当天,无影灯下的“逆向攻坚战”正式打响。董晓勇主任医师、李海锋主治医师、段磊主治医师手术团队按照术前规划,在患者左上腹精准定位并穿刺,成功建立腹腔镜操作通道。高清腹腔镜镜头下,反转的脏器结构清晰呈现。因胆囊炎症严重,局部组织粘连明显,增加了分离难度。采用“钝性分离+锐性切割”相结合的方式,剥离粘连组织,逐步显露胆囊三角区关键结构。在4K荧光腹腔镜摄像系统的支持下,胆道系统在显示屏上呈现出清晰的绿色荧光影像,宛如一盏“导航明灯”,帮助精准辨别胆囊颈管与胆总管,成功完成手术。整个手术过程如同在“镜像迷宫”中进行精密的“外科舞蹈”,每一个动作都精准稳健。手术顺利完成,术中出血量不足30毫升,未出现任何并发症。

术中实况

术后,密切观察患者生命体征及引流管引流量及性状,患者无任何不适症状,恢复顺利。术后第二天,愈合良好,腹腔引流管无明显引流液,顺利拔管。

手术戳卡布局

此次“全内脏反位胆囊结石伴胆囊炎手术”的成功实施,不仅展现了我院肝胆胰外科医师团队扎实的解剖学基础、精湛的微创手术技巧和良好的应变能力,更凸显了医院多学科协作的诊疗优势和疑难病症的综合诊治水平。未来,我院肝胆胰外科将继续坚持以患者为中心,聚焦临床疑难问题,不断探索医学技术创新,积累丰富的罕见病诊疗经验。