欢迎来到临汾市人民医院官方网站

新闻动态

30厘米“红色炸弹”摘除记——我院开展15公斤肝脏巨大肿瘤切除手术

发布时间:2025-12-02      作者: 临汾市人民医院

近日,我院肝胆胰外科温江涛团队联合麻醉科、手术室、输血科完成了持续2小时的肝脏巨大肿瘤切除手术,不仅是对我院肝胆胰外科团队技术的极限考验,更是对“自体血回输”技术的精准应用,破解术中大出血难题,在血源告急的危局中,为患者抢回了生的希望,患者在术后迅速恢复平稳。

术前|贫血+血源告急双重难题

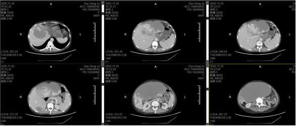
50岁女性患者因腹部胀痛在我院肝胆胰外科门诊就医时,腹部CT影像结果显示患者腹腔被一个肝脏巨型血管瘤撑满,直径大小约30×25厘米,肝脏巨大肿瘤已压迫下腔静脉、门静脉等关键血管,稍有外力就可能破裂引发大出血。更棘手的是,长期瘤体消耗及腹腔胃肠道受压迫导致食欲差、长期营养摄入不足等,让患者的血红蛋白仅69g/L(正常女性约120-150g/L),中度贫血的身体根本扛不住常规手术;而血库同型血储备不足,手术出血风险激增。

术前腹部CT

手术切除是唯一根治方案,但30×25厘米的肿瘤体积、15公斤的重量,加上患者术前中度贫血,让手术难度陡增。既要完整剥离与肝脏血管、胆管紧密粘连的肿瘤,又要避免损伤正常肝组织,更要解决术中血液丢失过多的棘手问题。

我院肝胆胰外科主任许其威主持MDT会诊最终选择方案:联合输血科先紧急输注红细胞纠正贫血,同时协调麻醉科启用自体血回输系统。这意味着,手术中流出的血液将被实时回收、净化、回输,既避免血源依赖,又能把失血风险降到最低,为手术“备足血源”。

术中|刀尖上的120分钟

“肝脏这个30×25厘米巨大肿瘤,占据腹腔近70%空间,这就像在布满血管的‘豆腐’上剥离一块巨大的‘石头’,稍有不慎就会引发大出血,甚至导致患者死亡。”肝胆胰外科温江涛介绍。手术当日,手术室全程处于“高压模式”:肿瘤与肝实质粘连紧密,血管网络错综复杂,肝胆外科团队及手术室团队凭借精湛的解剖技术与默契的配合,在聚光灯下一点点分离粘连组织,精准结扎每一根滋养血管,避免损伤肝门静脉、肝动脉等核心血管。最终历经2小时奋战,这枚困扰患者多年的“肝脏炸弹”被完整切除,用无菌布巾裹住瘤体,合力将这个15公斤的“肉球”缓缓移出腹腔,术中出血量控制在最低范围,患者生命体征始终平稳。

最关键的“生命保障”来自自体血回输技术的创新应用。术中,患者肝血管瘤中储存的血液及剥离过程中流失的血液被实时收集,经设备过滤、洗涤、离心后,将红细胞等有效成分分离出来,即时回输到患者体内。相当于把患者自己的血“净化后再利用”,不仅避免了血源紧张的困境,还杜绝了异体输血可能引发的过敏、感染等风险。此次手术共回收并回输自体血800毫升,相当于为患者“省下”了近4袋全血,成为手术成功的关键支撑。

术中肝巨肿物实物图及自体血回输系统


术后|“炸弹”清零,生命体征稳定


历经2小时奋战,这枚困扰患者多年的“肝脏炸弹”被完整切除,术中出血量控制在最低范围,患者生命体征始终平稳。术后,患者在ICU观察12小时后转入普通病房,目前已能正常进食、活动,复查显示肝功能正在逐步恢复。

手术关键技术亮点可概括为:精准解剖+微创分离,最大限度保护正常肝组织;自体血回输技术“闭环供血”,破解大出血难题;多学科术前评估+术中协同,实现风险可控。

这场惊心动魄的“拆弹战”手术的成功,不仅彰显了我院肝胆胰外科在巨大肝脏肿瘤切除领域的技术突破,更体现了多学科协作的强大力量。这例高难度手术的成功开展,为巨大肝血管瘤的治疗提供了宝贵的临床经验。